서울대학교
L O A D I N G
CLOSE닫기
더서울 인비절라인 교정

더서울 인비절라인 교정

치열의 골든타임을 찾는, 진단부터 체계적인 더서울 치아교정

더서울만의
3D 분석 맞춤형 디지털 교정

교정은 오랜 시간 진행해야 하는 만큼 체계적인 진단과 계획이 가장 중요합니다.

Special 01

클린체크

교정 결과 예측 프로그램

Special 02

스마트 트랙

맞춤형 정교한 소재

Special 03

정밀 진단 기반

정교한 교정치료

교정 후 치료 결과까지 예측하는
정교한 클린체크 시스템

The Seoul Dental Clinic Orthodontic Treatment Results Prediction

성장기 어린이부터 중장년까지 체계적 맞춤 교정

더서울치과의원은 3D 구강 스캔 및 안면 분석, 성장판 검사를 통해
아이부터 어른까지 정확하고 체계적으로치료 결과까지 예측합니다.

대표원장이 직접
교정 진료를 시행합니다.

더서울치과의원은 치아교정 기간동안
담당의사가 절대 바뀌지 않습니다.

언제 내원하셔도 담당의사가 상주하고 있어,
지속적인 유지관리를 받으실 수 있습니다.

위 클린체크 예측 영상은 더서울치과의원에서 직접 촬영한 영상입니다.

더서울치과, 얼마나 많은 치료를 진행했을까요?

치아교정, 체계적인 진단과 계획 수립이 가장 중요합니다.
더서울치과의원은 다수의 치아교정 경험을 토대로 치아 교정 결과를 미리 예측하는
클린체크 프로그램을 통해 정확한 3D 분석 맞춤형 디지털 교정을 진행합니다.

6plus

최연소 치아교정 환자 나이

2025.09.25 기준

71plus

최고령 치아교정 환자 나이

2025.12.19 기준

최연소 치아교정 환자 나이 만 6세
최고령 치아교정 환자 나이 만 71세
더서울치과의원은 결과로만, 증명합니다.

내 아이의 올바른 치열을 만나는 시기,
더서울이 우리아이 치열 골든타임을 찾아드립니다

성장기 아이도, 중장년까지도
맞춤형 투명 교정 인비절라인

Custom clear orthodontic invisalign

invisalign 인비절라인

인비절라인 (invisalign),
일반 투명교정 장치와는 다릅니다.

인비절라인(invisalign)은 투명 교정으로 심미적이며, 일반 투명 교정은 부정교합 개선에 어려움이 있으나
인비절라인(invisalign)은 부정교합 및 모든 케이스 치료가 가능합니다.

인비절라인
인비절라인 비교
Elite PLATINUM

인비절라인 Plainum Elite 등급

INVISALIGN TOP_TIER

Plainum Elite 등급

인비절라인에도 등급이 있습니다.
더서울치과는 인비절라인 본사 선정, Plainum+ 등급치과입니다.

인비절라인에도 등급이 있습니다.

우리아이 성장에 맞춘
맞춤형 성장기 교정, 인비절라인 퍼스트

Custom clear orthodontic invisalign

인비절라인 퍼스트
화살표
Promise 01

3D 분석 시스템

성장판 분석을 통한 예측 시스템

3D 분석 시스템
Promise 02

클린체크

iTero 3D 구강스캔 및 클린체크 시스템

클린체크
Promise 03

인비절라인 퍼스트

인비절라인 퍼스트 소아 교정 진행

인비절라인 퍼스트
화살표

탈부착이 가능하여 치료중에도 일상생활 가능

적은 내원 횟수로 자유로운 스케줄 가능

교정 장치가 부드러워 적은 통증과 불편감

구강관리가 용이하고, 교정 시 효과적인 치아이동 가능

자신감 있는 웃음을 되찾아드리는
더서울치과 디지털 교정

더서울치과의원은 치열로 자신감을 잃고, 웃음을 잃으신
환자분의 마음을 이해하고, 올바른 치료를 위해 언제나 노력합니다.

치아교정

치아교정의 발판이되는 진단부터,
더서울은 꼼꼼하게 진행합니다.

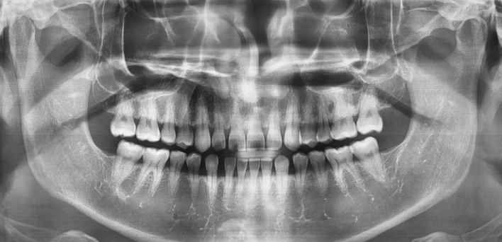
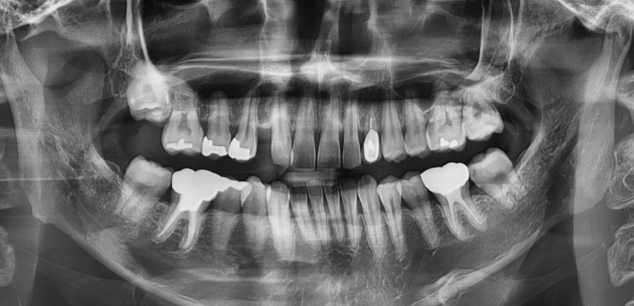
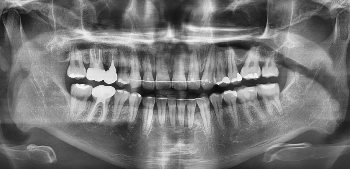
iTero 최신형 3D 스캔 / 성장 진단 장비

교정 후 결과를 예측하여 0.1mm 위치까지 의료진이 1:1 맞춤 설계를 진행합니다.

더서울치과의원은 iTero 최신형 3D 스캔 / 성장 진단 장비를 기반으로
환자 개별 맞춤 치료 계획을 설계하여 어려운 부정교합도 문제없이 치료합니다.

움직인 치아 수

36988건
화살표

개 이상

우리의 모든 치과 치료는 오직, 당신의 편안함을 위해

" 우리의 모든 치과 치료는 오직, 당신의 편안함을 위해 "

치아는 먹는 것과 직결되기 때문에 부정교합 시 바르지 않은 치열은
씹는 것이 어려워 불편한 식사를 초래하고, 심미적 요인으로 자신감과 직결됩니다.
더서울치과는 오랜 교정 기간 동안, 함께하는 동반자로 세심한 진료를 약속드립니다.

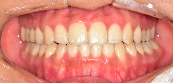
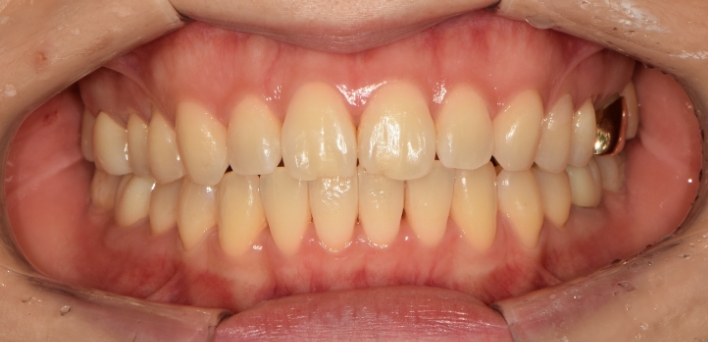
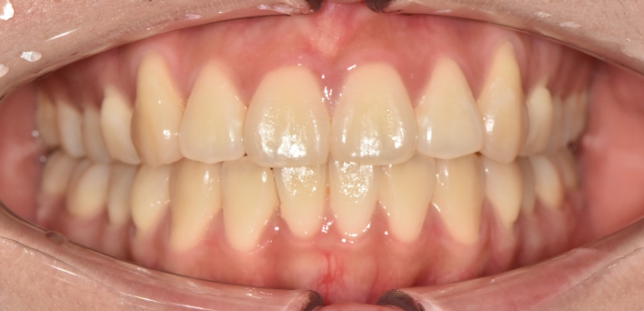
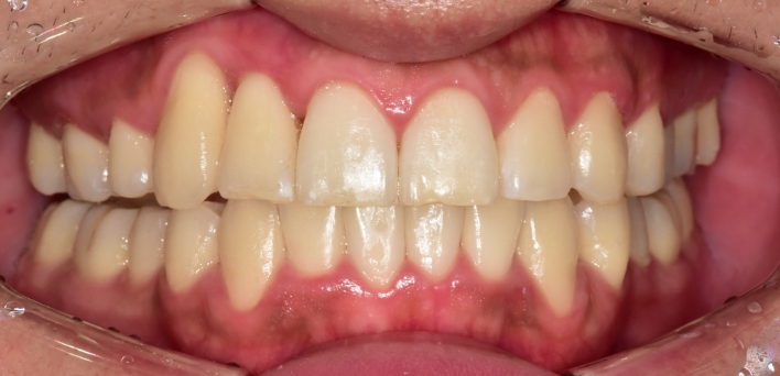
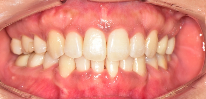
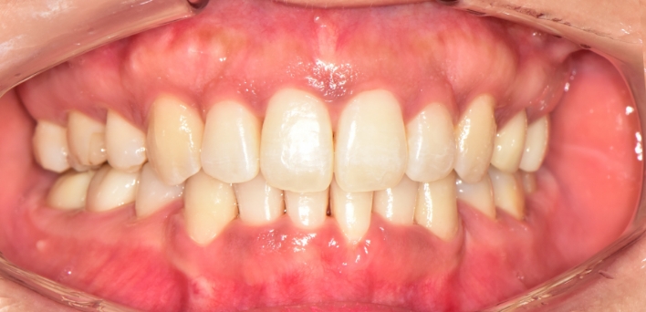
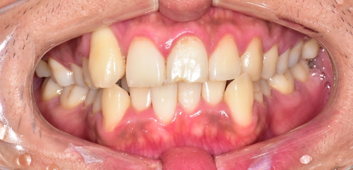
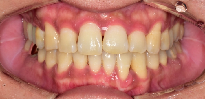
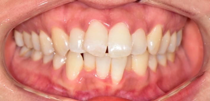
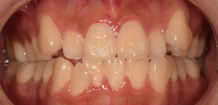
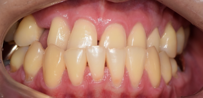
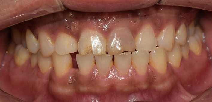
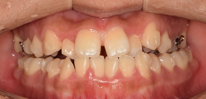
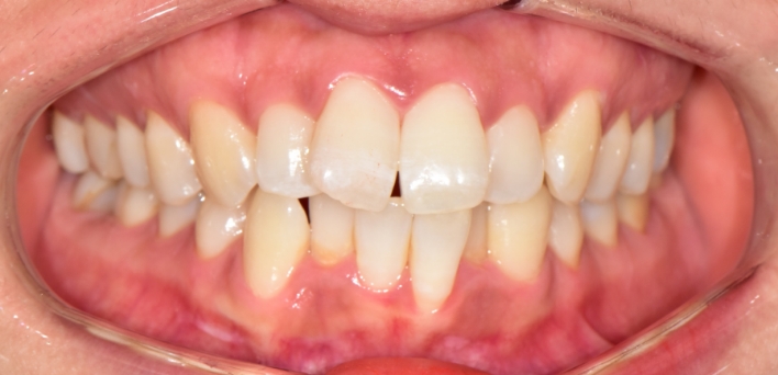
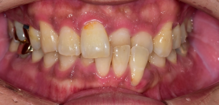
치아교정 Before & After

The seoul dental clinic

이전
다음
치료 기록 더보기버튼

※ 더서울치과의원은 의료법을 준수하며 위 케이스는 실제 환자의 동의를 얻은 사례로 치료 전, 후가 동일한 환경에서 촬영되었습니다.
환자 케이스에 따라 부작용이 발생할 수 있습니다. 이 부분은 의료진의 충분한 상담과 체크를 통해 예방하고 줄일 수 있습니다.
[치아교정 부작용] 초기에는 통증이나 잇몸 염증 등의 부작용이 생길 수 있어 주의가 필요합니다.

더서울치과는 의료법에 따라 정식 개설,운영 중인 치과의원 입니다.

※ 더서울치과의원은 의료법에 따라 의원 명칭을 정확히 표기하며, 모든 의료 정보는 관련 법령을 준수하여 제공합니다.

- 더서울치과 의원 -