태평역치과 <더서울치과> 돌출입 발치교정, 인비절라인 투명교정으로 자연스럽게!
안녕하세요! 태평역치과 <더서울치과>입니다.
저희 더서울치과의 투명교정 인비절라인에 대한 좋은 후기를
많이 접하시고 찾아주시는 고객님들이 계신데요.
Taepyeong Station Dental Clinic <The Seoul Dental Clinic> Protruding mouth extraction correction and transparent human non-segment line correction naturally!
Hello! I'm Taepyeong Station Dentist <The Seoul Dentist>.
I'd like to read some good reviews about The Seoul Dentist's transparent in-visual line
There are customers who come and see us a lot.
오늘은 돌출입과 함께 정상적으로 교합되지 않는 치아때문에
불편함을 느끼고계셨던 환자분의 인비절라인 교정에 대한 사례를
소개해 드리도록 하겠습니다.
Today, due to the protruding mouth and teeth that don't occlude normally
The patient's case of invisible correction of the patient's invisible line
I'll introduce it to you.

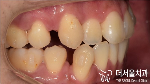
이 환자분은 좌측 두번째 큰 어금니가 아래쪽으로
내려온 느낌이 점점 불편해지셔서 저희 태평역치과 더서울치과를 찾아주셨습니다.
This patient has the second largest molar on the left side down
The feeling of coming down became more and more uncomfortable, so he visited our Taepyeong Station Dental Clinic and The Seoul Dental Clinic.


그리고 교합이 맞지 않아 비대칭 상태였는데요.
이렇게되면 장기적으로 턱관절에도 안좋은 영향을 주게된답니다.
생각보다 어금니가 아래쪽으로 많이 내려와 있는것을 확인할 수 있었습니다.
그리고 전반적인 돌출입형태를 보이고 계신것 또한 확인되었습니다.
And it was asymmetric because the occlusion was not correct.
This will adversely affect the jaw joint in the long run.
I could see that the molar was lower than I thought.
And it was also confirmed that you are showing an overall protruding shape.
환자분께선느 어금니 교정과 함께 돌출입과 총생도 개선하고 싶다고하셔서
해당 부분을 투명교정 인비절라인으로 발치교정읕 통해 개선하는 방법으로 교정계획을 수립하였습니다.
#27 어금니를 함입하고 돌출을 개선하고
#37번의 임플란트가 필요하였습니다.
She wants to improve her molar correction as well as her protruding mouth and her entire life
The correction plan was established as a way to improve the relevant part through the extraction correction with a transparent correction invisible correction line.
#27 Incorporate molar teeth and improve protrusion
#37 implants were required.


태평역치과 더서울치과의 인비절라인 클린체크 시스템을 통해
치료 전후의 모습을 미리 확인하였습니다.
특히 환자분께서 저희 더서울치과의 좋은 교정 후기를 보시고
무려 '강릉'에서 저희 치과로 내원을 결심해주셨다고 하셨답니다!
정말 감사한 말씀이셨습니다.
Through the Invisaline Clean Check System of Taepyeong Station Dental Clinic in The Seoul Dental Clinic
The appearance before and after treatment was checked in advance.
Especially, the patient saw a good review of our Seoul dentist's orthodontics
I heard that 'Gangneung' decided to visit our dentist!
Thank you so much.
계획대로 #27 구치부 함입을 통하여 대합치 임플란트의 공간을 확보하고
돌출입 개선을 진행하였고, 약 1년 반의 시간이 걸려 교정이 완료되었습니다.
As planned, #27 To secure space for the matching implant through the insertion of the palate
The protrusion was improved, and the correction took about a year and a half to complete.


이전과 달리 치아가 전체적으로 고르게 배열된 치아를 확인 할 수 있습니다.
어금니 임플란트도 잘 되어 자연스러운 치열을 보이고 있으며
돌출되었던 입매가 잘 들어간 것도 확인이 되었습니다.
Unlike before, you can check the teeth that are evenly arranged overall.
The molar implant is good, so it shows natural teeth
It was also confirmed that the protruding mouthpiece was well inserted.
무려 강릉에서 저희 태평역치과 더서울치과를 찾아주신 고객님께서도
크게 마음에 들어하셔서 더욱 뿌듯했던 인비절라인 교정 사례입니다.
혹시 치아교정을 고민하고 계신다면, 저희 더서울치과에서 인비절라인 교정을
만나보세요. 자연스러운 치아교정을 도와드리겠습니다.
The customers who visited Taepyeong Station and The Seoul Dental Clinic in Gangneung
This is a case of Invisalign correction that I was more proud because I liked it greatly.
If you're thinking about orthodontics, The Seoul Dental Clinic will do in-visual correction
Meet me. I'll help you with your natural braces.