더서울치과이야기

Theseoul dental story 495

작성자 더서울치과 등록일 2023-11-06 00:18:38 조회수 1,361회 댓글수 0건

성남치과 <더서울치과> 돌출입 발치교정, 인비절라인으로 깔끔하게!

 

 

안녕하세요! 성남 더서울치과입니다.

저희 더서울치과는 디지털치과로서 치아교정 역시

디지털교정인 인비절라인으로 많은 환자분들의 치아교정을 도와드리고 있습니다.

 

이 환자분은 입이 툭 튀어나온 돌출입을 교정하고 싶다는

말씀을 하시며 저희 성남더서울치과를 무려 강릉에서 찾아주신분 입니다.

또한, 단순히 심미적인 이유뿐만 아니라 부정교합으로 인해

점점 생활의 불편함을 느끼게되어 이를 개선하고 싶어하셨습니다.

Seongnam Dental Clinic <The Seoul Dental Clinic> Protruding tooth correction, Invisal line, neatly!

 

 

Hello! I'm Seongnam The Seoul Dentist.

The Seoul Dentist is a digital dentist, and it's good for braces

Invisaline, a digital calibration, helps many patients get orthodontics.

 

This patient wants to correct his protruding mouth

The person who came to Seongnam The Seoul Dentist in Gangneung while talking.

Also, not just for aesthetic reasons, but also for malocclusion

He wanted to improve it because he felt more and more uncomfortable in life.

 

 

 89433782318407ab6b0ac8fa8f318bcd_1699197464_5789.png
89433782318407ab6b0ac8fa8f318bcd_1699197464_7984.png 

 

 

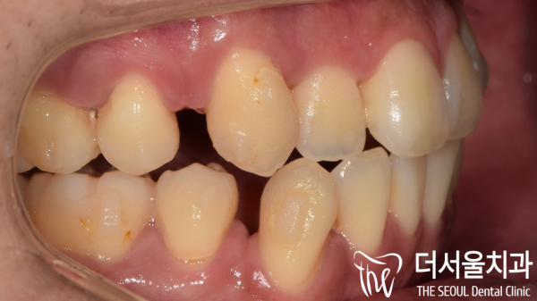
먼저 육안으로 환자분의 치아상태를 확인해보았습니다.

어금니가 아래쪽으로 많이 내려와 있었고, 치아가 반대교합으로

물리는 부분도 관찰되고 있습니다.

First, we checked the patient's dental condition with the naked eye.

My molars were down a lot, and my teeth were in opposites

Bites are also being observed.

 

89433782318407ab6b0ac8fa8f318bcd_1699197471_6221.png
 

또한 전체적으로 치아가 앞으로 돌출된 입매를 보이는데요.

환자분께서는 #27 어금니를 교정하고 돌출된 입매와 삐뚤빼뚤한

치아를 전체적으로 교정하고 싶어하셨습니다.

And overall, the teeth show the mouth that protrudes forward.

You've got your #27 molar braces straightened, your protruding mouth, your crooked mouth

He wanted to get his teeth straightened.

 

89433782318407ab6b0ac8fa8f318bcd_1699197476_5454.jpg
 

환자분의 교정을 위해 디지털교정인 인비절라인의 클린체크시스템으로

우선 전체적인 교정 전후 상태를 확인해보았습니다.

For the patient's correction, a digital calibration, Invisaline's clean check system

First, I checked the overall condition before and after calibration.

 

89433782318407ab6b0ac8fa8f318bcd_1699197483_7936.png
89433782318407ab6b0ac8fa8f318bcd_1699197485_2343.png
 

 

 

 

인비절라인의 기술력을 확인할 수 있는 부분이죠!

이를 통해 방문한 당일 교정이 어떻게 진행될지 가늠을 할 수 있습니다.

You can see the technical skills of Invisaline!

This allows you to estimate how the correction will proceed on the day you visit.

 

89433782318407ab6b0ac8fa8f318bcd_1699197490_6484.png
 

이 환자분은 강릉에서 내원을 하실 계획이시기 때문에

저희 더서울치과에서는 환자분꼐서 효율적인내원으로 치아교정을

하실 수 있도록 이를 염두에 두고 교정계획을 수립하였습니다.

This patient is planning to visit Gangneung

The Seoul Dental Clinic has a patient, so you can get orthodontics efficiently

I made a correction plan with this in mind so that you can do it.

 

89433782318407ab6b0ac8fa8f318bcd_1699197495_8885.jpg
 

 

실제 교정은 #27구치부의 함입을 통해

대합치의 임플란트 공간을 확보했고, 돌출입 개선도

도와드리게되었습니다.

전체적인 교정을 하는데, 약 1년 반이라는 시간이 소요되었습니다.

The actual calibration is performed through the insertion of the #27 hole

We've secured the implant space for the buttocks, and we've also improved the projection mouth

I'm here to help you.

It took about a year and a half to do the overall calibration.

 

 

 89433782318407ab6b0ac8fa8f318bcd_1699197502_6894.png
89433782318407ab6b0ac8fa8f318bcd_1699197502_8595.png 

 

 

전체적으로 문제가 있던 부분이 깔끔하게

해결된것을 확인할 수 있습니다. 정말 보기좋은 교정이되었습니다.

성남치과 더서울치과에서 교정하신 많은 환자분들의

사례중에서도 기억에 남는 사례로 생각됩니다.

In general, the parts that were problematic were clean

You can see what has been resolved. It's a really nice correction.

Many patients who got braces at Seongnam Dental Clinic and The Seoul Dental Clinic

I think it's one of the most memorable examples.

 

89433782318407ab6b0ac8fa8f318bcd_1699197507_5191.png
 

 

뿐만아니라 돌출된 입매가 개선된것도 아주 잘

확인이 됩니다. 환자분게서도 많은 부분의 변화에

만족해 하셨습니다.

Not only that, but it's also a great way to improve my protruding mouth

It's confirmed. I'm sure you've seen a lot of changes

He was satisfied.

 

89433782318407ab6b0ac8fa8f318bcd_1699197512_6682.jpg
 

 

교정은 오랜시간이 걸리고, 환자분의 노력도 필요한데요.

교정이 끝난 후에도 꾸준히 관리를 하고 정기적인 치과 내원을 하시어

문제는 없는지 확인하는게 오래오래 좋은 상태를

유지하는 비결이 된답니다. 

Correction takes a long time and requires your efforts.

Even after the orthodontics, take care of yourself and visit the dentist regularly

It's a good condition to make sure there's no problem

It's the secret to maintaining it.

 

#성남치과 #성남더서울치과 #더서울치과 #성남인비절라인 #성남투명교정 #성남돌출입교정 #돌출입교정 #치아교정 #성남교정치과

[출처] 성남치과 <더서울치과> 돌출입 발치교정, 인비절라인으로 깔끔하게!|작성자 더서울치과

 

이전글 Theseoul dental story 496
다음글 Theseoul dental story 494

목록보기