더서울치과이야기

Theseoul dental story 470

작성자 더서울치과 등록일 2023-09-08 00:05:15 조회수 1,363회 댓글수 0건

모란역치과 <더서울치과>에서 아말감 아래 생긴 2차 충치 치료하기!

 

 

안녕하세요! 더서울치과입니다.

오늘은 예전에 충치치료를 했던 곳에 2차로 생긴 충치를

치료한 사례를 소개해드리도록 하겠습니다.

Treatment of secondary cavities under amalgam at Moran Station Dental Clinic <The Seoul Dental Clinic>!

 

 

Hello! I'm The Seoul Dental Clinic.

Today, I'm going to get a second batch of cavities at the place where I had my cavity

Let me introduce you to a case of treatment.

 

93ed6edb666f5bba134a077a64612238_1694099073_865.png
 

저희 태평역치과 더서울치과에서는 사이충치를 치료할때 보통

인레이수복을 하시는것을 권장드립니다. 그 이유는 2차 충치가 생길 확율이

다른 치료방식보다 낮기 때문입니다.

 

 

이 환자분은 과거 다른치과에서 아말감으로 사이충치를 치료하셨는데요.

어금니 통증이 다시 느껴지신다고 하시며 저희 더서울치과를 찾아주셨습니다.

At The Seoul Dental Clinic in Taepyeong Station, when we treat saichungchi

We recommend that you restorate in-lay. The reason is that the probability of developing a secondary cavity

Because it's lower than other treatments.

 

 

This patient used to treat pyloric teeth with amalgam at another dentist's in the past.

He said he felt the pain in his molar again, so he visited The Seoul Dental Clinic.

 

93ed6edb666f5bba134a077a64612238_1694099080_6566.jpg
 

레진이나 아말감으로 사이충치를 치료를 하게되면, 치료 후에는 괜찮지만 시간이 지나면서

틈이 점점 벌어지게되고, 그 사이에 다시 음식물이 끼거나 하면서 2차 충치가 생길 확율이 생긴답니다.

If you treat your tooth with resin or amalgam, it's okay after the treatment, but over time

The gap gradually widens, and food gets stuck again in between, resulting in the probability of secondary cavities.

 

93ed6edb666f5bba134a077a64612238_1694099087_8124.png
 

 

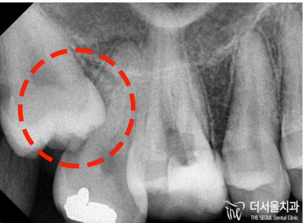
모란역치과 더서울치과에서 파노라마 엑스레이 촬영을 통해

치아 내부를 확인했습니다. 내부에 검은색으로 변한것이 확인됩니다.

충치가 생겼다는 의미인데요.

Through a panoramic X-ray at Moran Station Dental Clinic The Seoul Dental Clinic

I checked the inside of the tooth. It is confirmed that the inside turned black.

It means I have a cavity.

 

93ed6edb666f5bba134a077a64612238_1694099092_8226.png
 

 

뿐만 아니라 뒤쪽 어금니에 매복사랑니가 있었습니다.

뿌리흡수가 생길 수 있어서 역시 빠르게 제거해야 했습니다.

In addition, there was an ambush on the back molar.

Root absorption could occur, so it also had to be removed quickly.

 

 

93ed6edb666f5bba134a077a64612238_1694099097_8545.png
 

 

모란역치과 더서울치과는 사랑니발치를 할 때에도

CT촬영을 통해 환자분의 사랑니 발치 계획을 정확하게 세웁니다.

윗니의 경우에는 상악동 천공이 생길 수도 있기 때문에

이렇게 발치를 해도 문제가 없는지 정확하게 판단을 한 후에 발치를 한답니다.

Moran Station Dental Clinic The Seoul Dental Clinic, even when you have your wisdom teeth extracted

CT scans are used to accurately plan the patient's wisdom tooth extraction.

In the case of the upper teeth, it can cause maxillary perforation

It is done after accurately determining whether there is a problem with extracting teeth like this.

 

 

93ed6edb666f5bba134a077a64612238_1694099103_2863.png
 

 

 

아말감 아래에 있는 2차충치는 아말감을 제거하고 신경치료를 하기로하였습니다.

꼼꼼하게 감염된 부위를 제거하고 충전재료를 넣은뒤에 지르코니아 크라운으로 치료를

마무리하게되었습니다.

The secondary cavity under the amalgam decided to remove the amalgam and perform neurotreatment.

Carefully remove the infected area, add filling material, and treat it with zirconia crown

We're going to wrap this up.

 

 

93ed6edb666f5bba134a077a64612238_1694099108_479.png
 

 

 

치료가 완료된 모습입니다.

지르코니아 크라운은 정말 자연치아와 다를게 없는

심미성을 보여주는데요!

 

뿐만 아니라 오래오래 사용할 수 있는 좋은 품질의

보철이라는 점도 있으니, 꼭 참고해주세요!

The treatment is complete.

Zirconia crown is no different from natural teeth

It's showing aesthetics!

 

Not only that, but it's also good quality that you can use for a long time

It's also a prosthetic, so please refer to it!

 

93ed6edb666f5bba134a077a64612238_1694099113_497.jpg
 

 

 

혹시 예전에 치료받았던 곳이 다시 아파지지는 않으셨나요?

기분탓이 아닐 수 있습니다.

 

꼭 모란역치과 더서울치과에오셔서 치료를 받아보세요!

Didn't the place you were treated before get sick again?

It may not be a matter of feeling.

 

Please come to Moran Station Dental Clinic The Seoul Dental Clinic and get treatment!

 

 

#모란역치과 #더서울치과 #2차충치 #아말감2차충치 #아말감 #지르코니아크라운

[출처] 모란역치과 <더서울치과>에서 아말감 아래 생긴 2차 충치 치료하기!|작성자 더서울치과

 

이전글 Theseoul dental story 471
다음글 Theseoul dental story 469

목록보기