더서울치과이야기

Theseoul dental story 469

작성자 더서울치과 등록일 2023-09-03 01:38:26 조회수 1,478회 댓글수 0건

모란역치과 <더서울치과>에서 턱관절이 의심되면 어떻게 해야할까요?!

 

 

 

안녕하세요! 모란역치과 더서울치과입니다.

저희 치과를 찾아주시는 환자분들중에서, 턱관절의 통증을

호소하시는 환자분들이 계실때가 있습니다.

 

턱관절은 얼굴에 하나 있는 관절 부위로 이 부분에 문제가 생기면

일상생활에 지장을 줄 수 있고, 또 장기적으로 방치하면

안면비대칭 등의 심각한 결과를 초래할 수 있습니다.

What should I do if I suspect my jaw joint in Moran Station Dental Clinic <The Seoul Dental Clinic>?!

 

 

 

Hello! I'm Moran Station Dental Clinic, The Seoul Dental Clinic.

Among the patients who come to our dentist, the pain in the jaw joint

There are times when there are patients who complain.

 

The jaw joint is one of the joints in the face, and if there is a problem with this area

It can interfere with your daily life, and if you leave it unattended for a long time

It can have serious consequences such as facial asymmetry.

 

93ed6edb666f5bba134a077a64612238_1693672679_7832.png
 

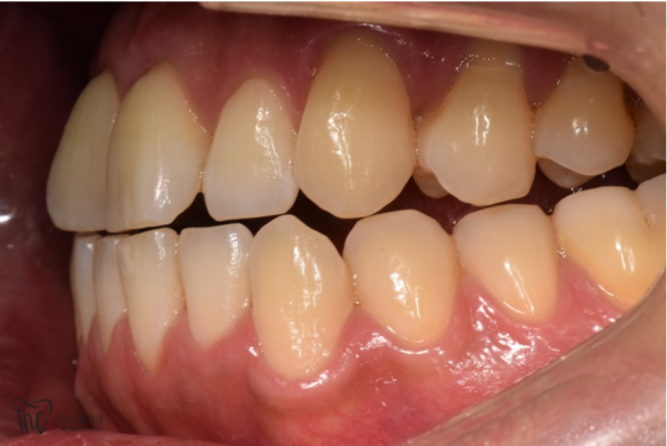
이 환자분의 경우에는 턱관절의 원인이, 치아의 부정교합으로 확인되었습니다.

사진으로 보시는 것 처럼 치아와 치아가 제대로 교합되지 않고 아래턱이 위턱보다 더 나와있어

입이 제대로 다물어지지 않고있는 상태였습니다.

 

이러한 상태가 개선되지 않아 급기야 턱관절의 통증이 발생된 것 입니다.

In this patient's case, the cause of the jaw joint was confirmed to be malocclusion of the teeth.

As you can see in the picture, the teeth and teeth are not properly interlocked, and the lower jaw is more prominent than the upper jaw

I couldn't keep my mouth shut properly.

 

The pain in the jaw joint occurred because this condition did not improve.

 

93ed6edb666f5bba134a077a64612238_1693672684_7538.jpg
 

 

이렇게 치아의 부정교합은 턱관절장애의 원인이 될 수 있으며

이 밖에는 잘못된습관이나 이갈이, 치아결손, 외부 충격등의 원인으로 인해서도

턱관절에 문제가생길 수 있습니다.

In this way, malocclusion of teeth can cause jaw joint disorder

Other than this, due to wrong habits, tooth grinding, tooth loss, external shock, etc.

You may have problems with your jaw joint.

 

93ed6edb666f5bba134a077a64612238_1693672689_6156.jpg
 

 

턱관절에 문제가 생기면 바로 위와같은 증상들이 나타나기 시작합니다.

입을 벌리기가 힘들거나, 입을 벌릴때 딱딱 소리가 나는 등의 증상으로 인해

급기야 두통이나 목, 어깨까지 근육통이 생기기도합니다.

 

턱 부분의 근육이나 관절이 부담스럽다는 느낌이 들면 이러한 턱관절장애를 의심해봐야합니다.

When there is a problem with the jaw joint, the above symptoms start to appear.

Due to symptoms such as difficulty opening the mouth or cracking when opening the mouth

In the end, headaches, necks, and shoulders may also develop muscle pain.

 

If you feel that the muscles or joints in the jaw area are burdensome, you should suspect this jaw joint disorder.

93ed6edb666f5bba134a077a64612238_1693672694_6629.jpg
 

 

이렇게 턱관절은 치아의 건강과 밀접한 영향관계를 갖고있기 때문에

저희 모란역치과 더서울치과에서는 턱관절장애를 갖고계신분들의 통증완화와 치료를 위해

다양한 방법으로 치료를 도와드리고 있습니다.

The jaw joint is closely related to the health of the teeth

Moran Station Dental Clinic, The Seoul Dental Clinic, for pain relief and treatment for people with jaw joint disorders

We are helping you with treatment in various ways.

 

 

93ed6edb666f5bba134a077a64612238_1693672698_9263.jpg
 

 

정확한 진단을 통해 턱관절 통증, 장애의 원인을 파악하고 환자분의

상태에 맞게 장치치료법, 주사치료법, 약물치료법등의 방식이 있습니다.

그리고 부정교합이 원인인경우에는 치아교정을 통하여 부정교합을 치료하고

턱관절의 통증을 완화시키는 방식으로 접근을 하기도합니다.

Through accurate diagnosis, the cause of jaw joint pain and disability is identified, and the patient's

Depending on the condition, there are methods such as device therapy, injection therapy, and drug therapy.

And if malocclusion is the cause, malocclusion is treated through orthodontic correction

It is also approached in a way that relieves pain in the jaw joint.

 

93ed6edb666f5bba134a077a64612238_1693672703_7418.jpg
 

턱관절장애가 심해지면 환자분들의 일상에 크고작은 불편함이 생겨나게됩니다.

혹시 턱관절장애를 의심하고 계시다면 저희 모란역치과 더서울치과를 찾아주세요!

If jaw joint disorders worsen, large and small discomfort will occur in patients' daily lives.

If you suspect a jaw joint disorder, please visit our Moran Station Dental Clinic The Seoul Dental Clinic!

 

 

#태평역치과 #더서울치과 #턱관절장애 #턱관절치료 #턱관절 #부정교합

[출처] 모란역치과 <더서울치과>에서 턱관절이 의심되면 어떻게 해야할까요?!|작성자 더서울치과

 

이전글 Theseoul dental story 470
다음글 Theseoul dental story 468

목록보기