더서울치과이야기

Theseoul dental story 412

작성자 더서울치과 등록일 2023-04-15 16:00:08 조회수 1,366회 댓글수 0건

태평역치과 <더서울치과>의 디지털임플란트, 어떤 장점이 있을까?!

What are the advantages of digital implants from Taepyeong Station Dental Clinic <The Seoul Dental Clinic>?!

 

안녕하세요! 태평역치과 <더서울치과>입니다.

다양한 모든 분야의 기술은 발전하고 있습니다.

치과의료기술 역시 디지털시대를 맞아 점차 디지털치과진료 방식으로

다양한 부분들이 변화하고 있습니다.

Hello! This is Taepyeong Station Dental Clinic, The Seoul Dental Clinic.

Technology in all areas is evolving.

Dental medical technology is also gradually becoming a digital dental treatment method in the digital era

Various parts are changing.

a4ae182a1d36462830fbcb12aa3ef304_1681541924_5691.jpg
 

저희 태평역 더서울치과는 디지털치과로서

임플란트 역시, 디지털임플란트방식으로 임플란트를 심어드리고 있습니다.

디지털임플란트는 과거의 방식과 어떤점이 달라졌는지,

어떤 부분의 장점이 있는지 알려드리겠습니다.

Taepyeong Station The Seoul Dental Clinic is a digital dental clinic

Implants are also implanted in a digital implant method.

What's different about digital implants from the past,

I'll tell you what are the advantages.

 

a4ae182a1d36462830fbcb12aa3ef304_1681541937_2863.png
 

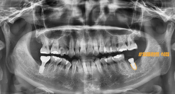
이 환자분께서는 오른쪽 치아 통증을 호소하셨는데요.

파노라마 엑스레이 사진을 보면 양쪽 어금니쪽에 모두 염증이 생겨 잇몸뼈가

녹아버린 상태로 보입니다. 이렇게 양쪽이 모두 상태가 안좋으면 더 문제가 큰 쪽부터

치료를 해야 하기 때문에 오른쪽 어금니부터 임플란트를 하기로 하였습니다.

This patient complained of right tooth pain.

If you look at the panoramic X-ray, both molars are inflamed, and the gum bones are

It looks like it's melted. If both sides are not in good condition, the bigger problem will start

Since I need to treat it, I decided to start with my right molar.

 

a4ae182a1d36462830fbcb12aa3ef304_1681541947_4475.jpg
 

 

디지털치과인 저희 태평역치과 더서울치과에서는 환자분의 임플란트를

심어드리기 위해 구강스캔을 먼저 진행합니다.

과거 치과의사의 손에의해 인상채득을 했던 방식과 다르게 이렇게

컴퓨터를 통해 3D로 스캔된 데이터를 이용하여 치아, 구강 상태를 정확히 파악합니다.

Taepyeong Station Dental Clinic The Seoul Dental Clinic, which is a digital dental clinic, uses your implants

We're going to do an oral scan first to plant it.

Unlike the way dentists used to make impressions

Use 3D scanned data from your computer to accurately understand the condition of your teeth and mouth.

 

 

a4ae182a1d36462830fbcb12aa3ef304_1681541957_9714.png
 

 

 

이후 CT촬영, 엑스레이, 구강스캔 데이터를 통합적으로 분석하여

환자분의 아래턱 해부학적 구조를 고려하여 임플란트라 심어질 위치, 깊이, 각도를 확인합니다.

이를 통해 컴퓨터로 모의수술을 하여 가장 안전한 방식으로 정확한 수술 계획을 수립합니다.

바로 이러한 방식이 디지털임플란트 방식의 핵심이라고 볼 수 있답니다.

After that, CT scan, X-ray, and oral scan data were analyzed in an integrated manner

Consider the patient's lower jaw anatomy to determine the location, depth, and angle of implantation.

This allows you to simulate surgery on your computer to establish accurate surgical plans in the safest way.

This is the key to the digital implant approach.

 

a4ae182a1d36462830fbcb12aa3ef304_1681541971_3543.png
 

 

환자분의 문제가 있던 치아는 발치하고 이렇게 임플란트가 안전하고 정확하게 심어졌습니다.

지르코니아 크라운으로 마무리하였답니다.

이 환자분은 양쪽 아래 어금니쪽에 문제가 있었기 때문에

오른쪽 치료한 부분이 잘 적응이 된 후에 반대편을 치료하기로 하였답니다.

The patient's problematic tooth was removed and the implant was safely and accurately planted.

It's finished with zirconia crown.

This patient had a problem with both lower molars

We decided to treat the other side after the right side of the treatment is well adapted.

 

a4ae182a1d36462830fbcb12aa3ef304_1681541981_5692.png
 

 

8개월의 시간이 후른뒤에 환자분의 왼쪽 아래 어금니 역시 저희 태평역치과 더서울치과에 찾아오셔서

치료가 진행되었으며, 역시 디지털 임플란트 방식으로 안전하고 정확하게 심어졌습니다.

After 8 months, your lower left molar also came to Taepyeong Station Dental Clinic, The Seoul Dental Clinic

Treatment has progressed and was also safely and accurately planted with digital implants.

 

 

a4ae182a1d36462830fbcb12aa3ef304_1681541990_6572.png
 

 

양쪽 아래 어금니가 모두 예쁘게 잘 심어진 것을 확인할 수 있습니다.

환자분께서는 저희 태평역치과 더서울치과의 디지털임플란트에 크게 만족하신 치료였습니다.

 

보신것 처럼 저희 더서울치과의 디지털임플란트는 적절한 위치에 임플란트의 픽스처를 잘 심을 수 있도록

컴퓨터를 통해 정확한 위치의 가이드라인을 제시해주기 때문에 안전하고 정확한 임플란트 식립이 가능하다는 장점이 있습니다.

You can see that both lower molars are beautifully planted.

The patient was very satisfied with the digital implant of Taepyeong Station Dental Clinic The Seoul Dental Clinic.

 

As you can see, the digital implants of The Seoul Dental Clinic help you plant the fixture of the implants in the right place

It has the advantage of being able to implant safely and accurately because it provides accurate location guidelines through a computer.

 

a4ae182a1d36462830fbcb12aa3ef304_1681542001_4321.jpg
 

 

혹시, 지금 임플란트를 고민하고 계시진 않으신가요?

만약 그러시다면 태평역치과 더서울치과를 찾아주세요.

안전하고 정확한 디지털임플란트로 잘 심어드리겠습니다.

Aren't you thinking about getting an implant?

If so, please visit Taepyeong Station Dental Clinic The Seoul Dental Clinic.

We will plant it well with safe and accurate digital implants.

 

 

#태평역치과 #더서울치과 #성남태평역치과 #성남더서울치과 #성남디지털치과 #디지털치과 #디지털임플란트 #내비게이션임플란트

 

[출처] 태평역치과 <더서울치과>의 디지털임플란트, 어떤 장점이 있을까?!|작성자 더서울치과

 

이전글 Theseoul dental story 413
다음글 Theseoul dental story 411

목록보기