더서울치과이야기

Theseoul dental story 410

작성자 더서울치과 등록일 2023-04-15 15:55:02 조회수 1,594회 댓글수 0건

성남치과 <더서울치과>에서 깨진 앞니, 당일 레진 빌드업으로 말끔하게!

The front teeth that broke at Seongnam Dental Clinic <The Seoul Dental Clinic> are clean with a resin build-up on the day!

 

안녕하세요! 성남치과 더서울치과입니다.

저희 더서울치과는 다양한 증상의 환자분들이 찾아주시는데요.

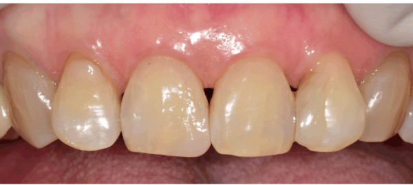
이 환자분은 충치가 아닌, 충격에 의해 앞니가 조금 깨져서 오셨답니다.

 

우선 사진을 먼저 보실까요?

Hello! I'm Seongnam Dental Clinic The Seoul Dental Clinic.

The Seoul Dental Clinic is visited by patients with various symptoms.

This patient came because his front teeth were slightly broken by impact, not by a cavity.

 

Let's take a look at the picture first?

 

a4ae182a1d36462830fbcb12aa3ef304_1681541661_74.png
 

 

많이 깨진것은 아니고, 법랑질만 손상이 있는 상태였습니다.

환자분께서는 특별히 시린증상이나 통증은 없으셨습니다만 심미적으로도 좋지않고

환자분 스스로도 불편하실 수 있는 상황이었습니다.

 

 

만약 시리거나 통증이 있는 상황이면 신경치료를 하고 크라운을 올려야 하는 상황입니다만

다행이 그런것이 아니었기 때문에 당일 가능한 레진 빌드업을 해드리기로 하였습니다.

It wasn't broken much, only the enamel was damaged.

You didn't have any particular cold or pain, but it's not aesthetically good

It was a situation that could have been uncomfortable for the patient himself.

 

 

If you're in a state of pain or pain, you're in a situation where you need to do neurotreatment and raise the crownten thousand

Fortunately, it wasn't like that, so we decided to build up the resin that can be done on the same day.

 

a4ae182a1d36462830fbcb12aa3ef304_1681541667_9454.jpg
 

 

통상적으로 앞니가 깨졌을 경우에는

라미네이트, 크라운, 레진을 고려할 수 있습니다.

하지만 라미네이트나 크라운은 치아를 삭제해야하는 양이 많기 때문에

깨진 부분이 작다면, 깨진곳만 채워넣는 레진을 이용하는것이 좋을 수 있습니다.

 

치아를 삭제하지 않아도되고, 깨진 부분만 채워넣는 방식이기 때문에

당일에 바로 치료를 끝낼 수 있기 때문입니다.

Usually, when your front teeth are broken

You can consider laminate, crown, and resin.

But for laminates and crowns, you have to remove a lot of teeth

If the broken part is small, it may be good to use a resin that only fills the broken part.

 

You don't have to delete your teeth, and you only fill in the broken parts

Because you can finish the treatment right away on the same day.

 

a4ae182a1d36462830fbcb12aa3ef304_1681541677_3743.png
 

 

이 환자분은 멀리서 저희 성남치과 더서울치과의

좋은 후기를 보시고 찾아오셨기 때문에 당일에 치료를 끝내는것도 중요한 상태였기

때문에, 레진 빌드업이 적합했답니다.

This patient is from a distance from Seongnam Dental Clinic, The Seoul Dental Clinic

It was also important to finish the treatment on the same day because you came after a good review

Therefore, the resin build-up was suitable.

 

 

a4ae182a1d36462830fbcb12aa3ef304_1681541686_432.png
 

 

 

중요한것은 바로 옆에있는 21번 중절치와 절단면의 형태가

동일하게 대칭이 이루어져야 한다는 것 입니다.

잘 되었다고 보여지시죠?!

What's important is that the shape of the amputation and the amputation of the 21st right next to it

It has to be symmetrical in the same symmetry.

Do you think it went well?

a4ae182a1d36462830fbcb12aa3ef304_1681541692_3711.jpg
 

 

오늘의 케이스는 간단히 치료가된 케이스입니다.

사실 치아가 살짝이라도 깨졌다는 것은 가볍게 생각하지 않는 것이 좋습니다.

그리고 만약 통증이나 시린증상이 있으면 꼭 바로 치과에 가야 합니다!

Today's case is a case that has been treated simply.

In fact, it's better not to take it lightly that your teeth are broken even slightly.

And if you have pain or soreness, you must go to the dentist right away!

 

 

a4ae182a1d36462830fbcb12aa3ef304_1681541697_3652.jpg
 

 

혹시 치아가 깨지셨거나, 통증이 느껴진다면

성남치과 더서울치과를 찾아주세요!

If you have a broken tooth or feel pain

Please visit Seongnam Dental Clinic The Seoul Dental Clinic!

 

#성남치과 #더서울치과 #성남더서울치과 #태평역치과 #앞니깨짐 #앞니치료 #레진빌드업 #레진

[출처] 성남치과 <더서울치과>에서 깨진 앞니, 당일 레진 빌드업으로 말끔하게!|작성자 더서울치과

 

이전글 Theseoul dental story 411
다음글 Theseoul dental story 409

목록보기