더서울치과이야기

Theseoul dental story 530

작성자 더서울치과 등록일 2024-01-29 00:22:14 조회수 1,243회 댓글수 0건

성남치과 <더서울치과> 10대 청소년교정, 빨리 시작하면 좋은 이유!

 

 

 

안녕하세요! 성남치과 더서울치과입니다.

저희 더서울치과를 찾으신 교정환자분들 중 약 90%는

인비절라인을 이용하여 투명교정을 진행하시고 계십니다.

Seongnam Dental Clinic <The Seoul Dental Clinic> Teenage Correction, a good reason to start early!

 

Hello! I'm The Seoul Dental Clinic at Seongnam Dental Clinic.

About 90% of the orthodontists who visited The Seoul Dental Clinic

Transparent correction is being carried out using the invisible line.

313a5e3dbe6055f3526ec9ddb43735dc_1706455295_5373.jpg
 

교정환자분들 중에서는 자녀, 아이의 교정때문에

저희 성남 더서울치과를 찾아오시는 경우도 많으신데요.

오늘은 10대 청소년의 치아교정에 대한 소개를 해 드리겠습니다.

Some of the people who have braces, because of their children's braces

There are many cases where you come to Seongnam The Seoul Dental Clinic.

Today, I will introduce the orthodontics of teenagers.

 

313a5e3dbe6055f3526ec9ddb43735dc_1706455300_4886.jpg
 

 

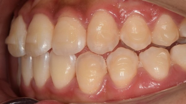
이 학생은 앞니가 삐뚤어져 있어서 이 부분을 개선하고 싶었습니다.

저희 성남치과 더서울치과 원장님들의 유튜브를 보고 찾아오셨다고 하시는데요.

10대때 치아교정을 하게되면 성장기이기 때문에

다른 수술을 하지 않아도 악궁확장장치 등을 사용하여

치료를 있다는 장점이 있답니다.

This student wanted to improve this part because his front teeth are crooked.

I heard that you came after watching the YouTube of the directors of Seongnam Dental Clinic The Seoul Dental Clinic.

If you get braces when you're a teenager, it's a growing season

You don't have to perform any other surgery, but you can use the arch extension device

It has the advantage of being able to treat it.

 

313a5e3dbe6055f3526ec9ddb43735dc_1706455307_3378.png
 

 

앞니 총생때문에 저희 성남치과 더서울치과를

찾아오셨다고 하셨는데요. 엑스레이 사진을 보아도

앞니 총생 말고는 다른 부분의 문제가 보이지는 않았습니다.

We went to Seongnam Dental Clinic and The Seoul Dental Clinic because of the total number of front teeth

You said you're here. Even if you look at the X-ray

I didn't see any problems other than the front tooth shooting.

 

313a5e3dbe6055f3526ec9ddb43735dc_1706455312_0096.jpg
 

그리고 인비절라인의 기술력, 클린체크시스템으로

교정이 어떤식으로 진행되어 최종 모습이 어떻게될지

보여드리며 설명을 해 드렸습니다.

삐뚠 앞니가 어떻게 펴지는지 확인할 수 있으시죠?

And with Invisalign technology and clean check system

How the correction will proceed and what the final look will be like

I showed it to you and explained it to you.

Can you see how the front teeth are straightened?

 

313a5e3dbe6055f3526ec9ddb43735dc_1706455316_1562.jpg
 

인비절라인 교정을 위해서는 치아에 치아의색과 비슷한

고정장치(어태치면트)를 부착하여 교정장치에 힘이 걸리도록 합니다.

학생시절에는 외모에 민감한데, 투명교정인 인비절라인은

학생들에게 아주 좋은 선택이 될 수 있답니다.

For Invisalign correction, you can use a color similar to the color of your teeth

Attach the fixture (attachment) to apply force to the braces.

When I was a student, I was sensitive to my appearance. Invisalign, a transparent corrector

It can be a very good choice for students.

 

313a5e3dbe6055f3526ec9ddb43735dc_1706455321_2319.jpg
 

 

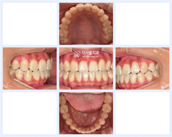
이 학생은 초기 예상한대로 약 1년정도의 교정기간이 걸렸으며

최종 모습을 보면 앞니가 잘 펴져있는것을 확인할 수 있습니다.

This student took about a year of proofreading as expected

If you look at the final appearance, you can see that the front teeth are well spread out.

 

313a5e3dbe6055f3526ec9ddb43735dc_1706455326_8524.jpg
 

 

치아교정은 단순히 심미성만을 위한 선택이 아닙니다.

부정교합이 있으면 치아의 위생에도 연관이 있고 치아의 건강에 직결됩니다.

Orthodontics isn't just a choice for aesthetics.

The presence of malocclusion is related to the hygiene of the teeth and is directly related to the health of the teeth.

 

313a5e3dbe6055f3526ec9ddb43735dc_1706455332_786.jpg
 

10대 학생들의 경우, 아직 성장기이기 때문에

빠른 교정이 가능하다는 장점이 있습니다.

치아교정을 고민중이시라면, 성남치과 더서울치과를 찾아주세요!

In the case of teenage students, they are still growing up

It has the advantage of being able to correct quickly.

If you're thinking about getting braces, please visit Seongnam Dental Clinic and The Seoul Dental Clinic!

 

 

#성남더서울치과 #성남치과 #더서울치과 #성남치아교정 #10대학생교정 #어린이교정

[출처] 성남치과 <더서울치과> 10대 청소년교정, 빨리 시작하면 좋은 이유!|작성자 더서울치과

 

이전글 Theseoul dental story 531
다음글 Theseoul dental story 529

목록보기